Title of the project
How to stay attached: Evolution and development of the plug, a transient novel tissue in ricefishes (Beloniformes: Adrianichthyidae)
Management
Dr Julia Schwarzer
Description
Pelvic brooding ricefishes
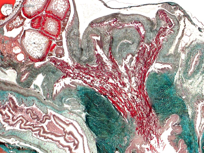
Ricefishes (Beloniformes: Adrianichthyidae) are small freshwater fishes native to South-, Southeast and East-Asia. Most species exhibit a reproductive strategy known as transfer brooding, where the female carries fertilized eggs behind her pelvic fins before eventually releasing them. In contrast, pelvic brooding—a trait that appears to have evolved independently twice within two ricefish lineages (Oryzias and Adrianichthys), both endemic to Sulawesi, Indonesia—involves retaining eggs attached to the female’s body for several weeks until hatching. This extended brooding period is associated with significant physiological and behavioral adaptations. Notably, during brooding, a novel and transient tissue termed the “plug” develops within the female’s reproductive tract, which likely anchors the eggs and may have additional functions. Data from our research group suggest that plug formation is initiated by a modified inflammatory response and shares characteristics with granuloma formation.
Tasks
In this project, we investigate the formation and evolutionary origins of the novel transient tissue, the plug. To understand how modifications in the reproductive system facilitate pelvic brooding, we will compare the anatomy of the female reproductive tract across different brooding stages in pelvic-brooding and transfer-brooding Oryzias species, as well as in the second pelvic-brooding lineage, Adrianichthys.
We will further apply advanced molecular techniques, including single-cell RNA sequencing (scRNA-seq) to characterize the individual cell populations that constitute the plug, and spatially resolved transcriptomics (SRT) to map gene expression patterns along histological sections of the female reproductive tract of Oryzias eversi with high spatial resolution.
From Immunity to Innovation: The Role of Inflammatory Processes in Ricefish Reproduction
This integrated approach aims not only to elucidate the cellular and molecular mechanisms underlying plug formation and pelvic brooding in ricefishes but also to provide insights into how modified immune processes may have driven the evolution of this novel reproductive strategy. Our findings will highlight the broader potential of inflammation-related mechanisms to contribute to adaptive evolutionary innovations.
/leibniz-lib.de/fileadmin/user_upload/home/Bilder/LIB/Ueber_das_LIB/Mitarbeitende/Bonn/01-20250827_MKB_Portraits_SchwarzerJulia_MGeiger_IMG_7883.jpg%3F1758276216)
/leibniz-lib.de/fileadmin/user_upload/home/Bilder/LIB/Ueber_das_LIB/Mitarbeitende/Bonn/01_20241120_MKB_Portraits_LowRes_SchuellerAlina_FKurceren_6N0A6724.jpg%3F1739272895)
Financing
Team
/leibniz-lib.de/fileadmin/user_upload/home/Bilder/LIB/Ueber_das_LIB/Mitarbeitende/Bonn/01-20250827_MKB_Portraits_SchwarzerJulia_MGeiger_IMG_7883.jpg%3F1758276216)
Dr. Julia Schwarzer
zmb Evolutionary genomics ScientistPhone: +49 228 9122 426
E-mail: j.schwarzer@leibniz-lib.de/leibniz-lib.de/fileadmin/user_upload/home/Bilder/LIB/Ueber_das_LIB/Mitarbeitende/Bonn/01_20241120_MKB_Portraits_LowRes_SchuellerAlina_FKurceren_6N0A6724.jpg%3F1739272895)
MSc Alina Schüller
zmb ztm Animal husbandry Evolutionary genomics Doctoral candidatePhone: +49 228 9122 431
E-mail: a.schueller@leibniz-lib.deProf. Dr. Alexander Suh
zmb Molecular biodiversity ScientistPhone: +49 228 9122 289
E-mail: a.suh@leibniz-lib.de/leibniz-lib.de/fileadmin/user_upload/home/Bilder/LIB/Ueber_das_LIB/Mitarbeitende/Bonn/01_20241118_MKB_Portraits_LowRes_VehofJuliane_FKurceren_6N0A3728.jpg%3F1739189883)
Dr. Juliane Vehof
ztm Morphology laboratory BonnPhone: +49 228 9122 346
E-mail: j.vehof@leibniz-lib.deDr. Niki Vontzou
zmb Molecular biodiversity Postdoctoral researcherPhone: +49 228 9122 242
E-mail: n.vontzou@leibniz-lib.de/leibniz-lib.de/fileadmin/user_upload/home/Bilder/LIB/Ueber_das_LIB/Mitarbeitende/Bonn/01_20241119_MKB_Portraits_LowRes_WipflerBenjamin_FKurceren_6N0A5308.jpg%3F1739272067)
Dr. Benjamin Wipfler
ztm Morphology laboratory Bonn ScientistPhone: +49 228 9122 235
E-mail: benjamin.wipfler@leibniz-lib.de
External team members
Prof Lázaro Centanin
University of Heidelberg
Dr Javier Vázquez-Marín
University of Heidelberg
Dr Daniel Frikli Mokodongan
Indonesian Institute for Sciences
:watermark(leibniz-lib.de/typo3temp/assets/images/watermark-copyright/f96d3479c8215ec6b662b7cfb8b06e19.png,3,10,0)/leibniz-lib.de/fileadmin/user_upload/home/Bilder/LIB/Projekte/How_to_stay_attached_Evolution_and_development_of_the_plug__a_transient_novel_tissue_in_ricefishes.jpg%3F1771835487)
:watermark(leibniz-lib.de/typo3temp/assets/images/watermark-copyright/55d0274ebb2bf33eb5c79d8b09bad7f7.png,3,10,0)/leibniz-lib.de/fileadmin/user_upload/home/Bilder/LIB/Projekte/Logos/Finanzierung/dfg_logo_englisch_blau_en.gif%3F1739958316)